|
网站导航:
首页
>>
社区康复
>> 中医科业务学习(胸片)
中医科《胸片》学习课件
2012-02-23 09:31 来源: 望京网
中医科《胸片》学习课件
由于《胸片》学习课件内存过大,无法上传到网上。如有需要者,请到中医科拷贝。
附:课件样本。
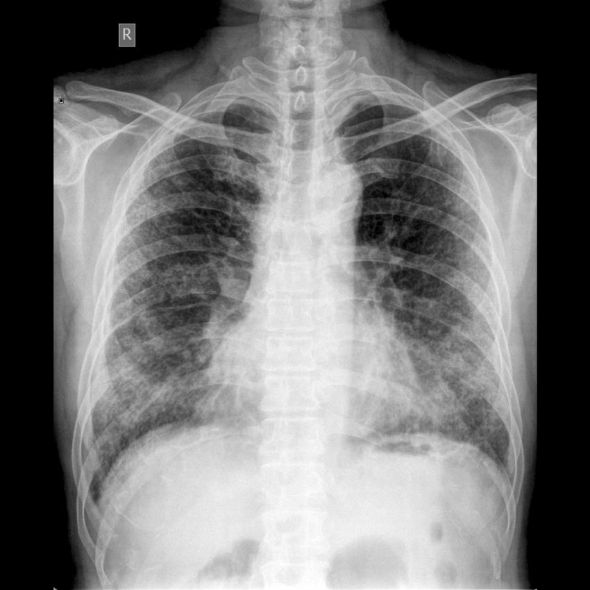
1、风心病:
2、双肺陈旧性肺结核:
3、双肺间质纤维化:
论坛精选
·
升级超级会员(SVIP)
·
阿尔忒弥斯2号成功发射
·
Hello恭喜发财
·
北小河上的樱花游船准
·
欢乐颂的粉红市集开集
·
名创优品春日福利来啦
·
##第三届望京海棠花溪
·
交个朋友
·
长城春花满山
·
水晶饺
·
#春天去旅行#北京文
·
打卡 冒泡
·
朝内银河soho邂逅郁金
·
外面沙尘天儿喽!
·
无意间发现一片花海
·
话说伊朗(二)
·
唯品会买的雅诗兰黛DW
·
20260402海棠花溪随拍
·
天津陪诊
·
今日空气
望京网
2008